Форониды – это исключительно морские животные, имеющие всесветное распространение. В настоящее время в типе Phoronida насчитывается 12 описанных видов (Emig, 1979; Темерева, Малахов, 1999; Темерева, 2000). Взрослые форониды обладают червеобразным телом (табл. I, 1, 2
) и живут в выделяемых ими трубках (табл. II, 1, 2
). Стенки трубки образованы затвердевшим хитиновым секретом эпителия (Hyman, 1958, 1959) и сами по себе прозрачны и эластичны, однако у некоторых видов инкрустированы и укреплены частицами грунта (табл. II, 1, 2
). Среди форонид разделяют две экологические группы: сверлящие и песчаные (Emig, 1982, 1985). Первые поселяются в толще раковин моллюсков (Acmaea, Niveotectura, Chlamys,Crassostrea, Crenomytilus, Fusitriton) и камней, вторые - в песке и их трубки инкрустированы песчинками(табл. I, 2
; табл. II
). Тело животного полностью погружено в трубку и в воду выглядывает только головной конец тела, несущий щупальца лофофора (табл. I, 2
;табл. II, 4,5
). Длина тела всегда меньше длины трубки и сильно варьирует как в пределах одного вида, так и между видами и может колебаться от 1,5 см (Phoronis ovalis) до 45 см (Phoronopsis californica). Окраска тела живых животных может быть молочно-белой, розоватой, зеленоватой или коричневой.
Внешне тело всех форонид подразделено на пять участков: лофофор со щупальцами, головной участок тела, передний и задний туловищный участки и ампула (Темерева, Малахов, 2001) (табл. I, 1
) . Головной конец несет лофофор, который выполняет питающую и дыхательную функции. Щупальца лофофора окружают рот, который имеет вид серповидно изогнутой щели и прикрыт эпистомом (надротовой складкой). Головной участок тела короткий и снаружи с анальной стороны тела обозначен двумя буграми метанефридиев (табл. II, 3
). Передний туловищный участок - самая длинная часть тела форонид, характеризуется складчатостью покровов и способностью сильно сокращаться, уменьшаясь в длину почти в два раза и втягивая в трубку головной конец (табл. II, 3
). Задний туловищный участок характеризуется наибольшим (по сравнению с другими участками тела) диаметром и тонкими, полупрозрачными покровами, через которые просвечивают кровеносные капилляры и петля кишечника. Терминальный участок тела - ампула - имеет форму небольшого пузырька и характеризуется складчатыми покровами и способностью сильно изменяться в диаметре (табл. I, 1
).
У форонид различают оральную и анальную стороны тела. С анальной стороны хорошо заметны анальный бугор, бугры метанефридиев и две «ветви» лофофора (табл. II, 3
).
Морфология форонид чрезвычайно бедна, и по внешнему облику можно определить лишь род. В типе Phoronida различают два рода Phoronis и Phoronopsis. Представители рода Phoronopsisхарактеризуются наличием эпидермальной складки - воротничка, развитой под лофофором вдоль внешнего ряда щупалец и окружающей кольцевое нервное сплетение. Воротничок особенно хорошо заметен под бинокуляром по бокам и с анальной стороны туловища (табл. III, 1
). Виды рода Phoronis лишены воротничка.
Для определения видов форонид необходимо изучение гистологических срезов, сделанных через каждый участок тела. Причем для головного участка тела должны быть получены полные серии срезов. Поперечные срезы через основание лофофора позволяют определить тип лофофора и подсчитать число щупалец, которое важно при определении видов. Лофофор всех форонид билатерально симметричен и его строение является важным определительным признаком. У форонид различают пять типов строения лофофора: овальный, подковообразный, переходный к спиральному (0,5 оборота), спиральный (с 1-4 оборотами) и хеликоидальный (Emig, 1979; Темерева, Малахов, 1999) (табл. III
).
У большинства форонид непрерывный ряд щупалец разомкнут с анальной стороны. Здесь располагается зона закладки новых щупалец (аборальная зона роста) и поэтому здесь находятся самые короткие щупальца. Только у одного вида форонид, у Phoronis muelleri имеется не только аборальная, но и оральная зоны роста (Мамкаев, 1962; Emig, 1979) (табл. I, 3
). Последняя расположена с оральной стороны тела. Здесь медиальные щупальца в два-три раза короче латеральных (табл. I, 3
).
Все элементы нервной системы форонид залегают в толще покровного эпителия. В состав нервной системы входят дорсальное нервное сплетение (располагается между ртом и анусом), кольцевое нервное сплетение (проходит вдоль внешнего ряда щупалец в основании лофофора), гигантские нервные волокна, интраэпидермальный нервный плексус (Silen, 1954a). На поперечных срезах через передний туловищный участок тела у разных видов форонид можно обнаружить два (правое и левое) или одно (левое) нервное волокно (табл. IV,
). Число и диаметр гигантских нервных волокон имеет систематическое значение. Нервные волокна проходят в толще эпителия напротив латеральных мезентериев. У большинства форонид диаметр нервных волокон не превышает 10 мкм (4-9 мкм) и они могут быть обнаружены только при помощи иммерсионного объектива (табл. IV, 1,
).Однако у некоторых форонид диаметр нервных волокон весьма значителен - 30-40 мкм (табл. IV, 2,
).
Мускулатура кожно-мускульного мешка образована слоем кольцевой и продольной мускулатуры. Наиболее мощно продольная мускулатура развита в переднем туловищном участке, где она образует складки, вдающиеся в полость тела (табл. IV, 2,
). У форонид выделяют четыре типа продольной мускулатуры: перьевидная, кустистая и два типа синцитиальной мускулатуры, которая характерна только для одного вида форонид Phoronispallida (Silen, 1952) (табл. V,
).
Число мышечных складок в отдельных камерах целома является одним из главных систематических признаков форонид, который впервые был введен в таксономию этой группы Сели-Лоншампом (Selys-Longchamps, 1907). Подсчет числа лент продольной мускулатуры ведется по следующей схеме:
оральный мезентерий
левый латеральный мезентерий—|—правый латеральный мезентерий
анальный мезентерий
Определить число лент продольной мускулатуры можно по срезам через передний туловищный участок тела (табл. VI,
). В туловищном целоме форонид насчитывается пять мезентериев: оральный, анальный, интеринтестинальный (проходит между двумя ветвями кишечника) и левый и правый латеральные (табл. VI,
).Первые три мезентерия делят туловищный целом на правую и левую камеры. Дополнительные латеральные мезентерии делят целом на анальную и оральную камеры. У двух видов форонид некоторые из перечисленных мезентериев могут отсутствовать, что является для них определительным признаком. Так, у Phoronis ovalis отсутствуют оба латеральных мезентерия, а уPhoronis muelleri - левый латеральный мезентерий (Мамкаев, 1962; Emig, 1974, 1979).
Определить левую и правую камеры целома у видов, имеющих только одно (всегда левое) гигантское нервное волокно очень просто. Подходящий к нервному волокну мезентерий – левый латеральный, тогда ближайшая к этому мезентерию камера, содержащая кровеносный сосуду – левая оральная, а камера без сосуда – левая анальная (табл. VI,
). Соответственно, еще одна граница левой оральной камеры – оральный мезентерий, а левой анальной – анальный мезентерий. Оставшийся мезентерий – правый латеральный, который делит правую камеру целома на оральную (прилежащую к оральному мезентерию) и анальную (прилежащую к анальному мезентерию).
У видов с двумя нервными волокнами определить камеры целома труднее: начинающему исследователю сначала даже сложно понять, какой из мезентериев, подходящих к нервным волокнам, правый, а какой – левый.
Вообще, кровеносная система форонид замкнутая и слагается из нескольких основных кровеносных сосудов: двух лофофральных (кольцевых) трех продольных (правый и левый латеральные и медиальный). У всех форонид за одним исключением (Phoronis ovalis) один из трех продольных сосудов (правый) редуцирован на большем протяжении тела и на поперечных срезах через середину тела можно увидеть только два кровеносных сосуда: левый и медиальный. Однако, в заднем туловищном участке, где расположены гонады, третий продольный сосуд имеется (см. Темерева, Малахов, 2003). УPhoronis ovalis на поперечных срезах через середину тела видны все три продольных сосуда.
Для того чтобы определить камеры целома необходимо выяснить, какой из присутствующих на срезе двух кровеносных сосудов медиальный, а какой левый латеральный. Первый располагается ближе к интеринтестинальному мезентерию, как правило, имеет узкий просвет и толстые стенки с внутренней выстилкой((табл. IV, 1,
), табл. VI,
). Второй расположен дальше от интеринтестинального мезентерия, имеет широкий просвет и тонкие стенки (табл. VI,
).Медиальный кровеносный сосуд располагается в правой анальной камере целома, которая ограничена анальным и правым латеральным мезентериями. Левый латеральный сосуд проходит в левой оральной камере целома, которая ограничена оральным и левым латеральным мезентериями. Две камеры целома, в которых нет кровеносных сосудов, называются правой оральной и левой анальной. Первая ограничена правым латеральным и оральным мезентериями, вторая – анальным и левым латеральным.
Важное систематическое значение имеет строение метанефридиев форонид. Это парные органы, расположенные в головном участке тела и имеющие вид изогнутой трубки, один конец которой открывается ресничной воронкой в полость туловищного целома, другой - нефридиопором в окружающую среду (табл. VII,
). Выделяют четыре типа строения метанефридиев (Emig, 1979, 1985):
- с одной восходящей ветвью и одной воронкой (табл. VII, 1,
);
- с одной восходящей ветвью и двумя воронками: большой анальной и маленькой оральной (табл. VII, 2,
);
- с двумя ветвями - восходящей и нисходящей - и одной воронкой (табл. VII, 3,
);
- с высокими ветвями нефридиев, с нефридиопором, расположенным на внутренней стороне анального бугра, с двумя воронками, из которых оральная много больше анальной и имеет большие лопасти (табл. VII, 4,
).
Необходимо отметить, что часто у большинства видов форонид во время нерестового периода целомические воронки метанефридиев разрастаются и образуют многочисленные складки, лопасти и, возможно, дополнительные воронки. Такие прецеденты достоверно известны у Phoronis psammophila (Emig, 1985), Phoronopsis albomaculata (Emig, 1979). Для реконструкции метанефридиев необходимо получить полную серию гистологических срезов через головной участок тела.
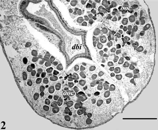
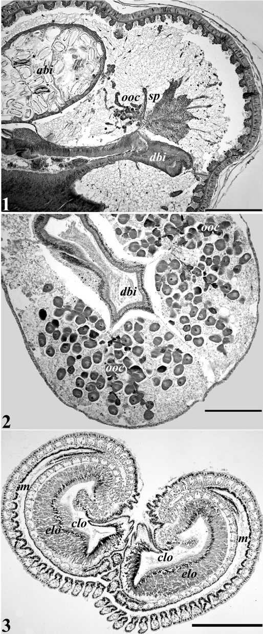
Среди форонид есть раздельнополые и гермафродитные виды (Emig, 1977). Половые клетки развиваются в заднем туловищном участке в толще вазоперитонеальной ткани и ассоциированы с кровеносными сосудами и капиллярами (табл. VIII,
). У гермафродитов яйцеклетки развиваются с оральной стороны левого латерального сосуда, спермии - с анальной стороны того же сосуда (табл. VIII, 1,
).У раздельнополых видов половые клетки, как правило, развиваются и в левой (вокруг левого латерального сосуда) и в правой (вокруг правого латерального сосуда) камерах целома (табл. VIII, 2,
)
У форонид имеется два типа половых желез: нидементальные железы и лофофоральные органы. Это парные образования, расположенные в лофофоральной вогнутости, вдоль внутреннего ряда щупалец и представляющие собой сильно разросшийся эпителий. Лофофоральные органы развиты у видов гермафродитов и самцов раздельнополых видов (табл. VIII (3.
)). Нидементальные железы имеются только у тех видов, для которых известна забота о потомстве - вынашивание яиц (до стадии молодой личинки) в лофофоральной вогнутости. Яйца и эмбрионы склеиваются секретом нидементальных желез в эмбриональные скопления (одно или два), которые хорошо заметны в кроне щупалец (табл. VIII (2.
)).
Для всех форонид свойственно наружновнутреннее оплодотворение. Самцы выделяют во внешнюю среду сперматозоиды, которые у большинства видов формируются в сперматофор, где и происходит окончательное созревание мужских половых клеток. Сперматофор попадает (за счет большой плотности поселений) в крону щупалец самки и сперматозоиды проникают в полость туловищного целома через метанефридии, где и происходит оплодотворение. Нерестятся форониды оплодотворенными яйцами и уже в полости тела могут проходить деления созревания. Дробление у форонид радиальное, результатом дробления является бластула. Бластопор замыкается сзади на перед, оставшееся отверстие становится ртом. Затем происходит формирование личинки.
Большинство видов форонид имеют планктотрофных личинок – актинотрох. Донные лецитотрофные личинки характерны только для одного вида – карликовой сверлящей форониды Phoronis ovalis (см. Silen, 1954). Планктонные личинки форонид первоначально были описаны как самостоятельные организмы под родовым названием “Actinotrocha” (см. Mueller, 1846). Позднее, А.О. Ковалевский (Ковалевский, 1867) доказал, что актинотрохи являются личинками донных червеобразных животных – форонид, которые ранее были описаны Райтом (Wright, 1856). С тех пор личинок форонид неоднократно обнаруживали в планктоне всех регионов Мирового океана и число описанных личинок быстро превзошло число описанных взрослых форм. Так, на 12 описанных взрослых форонид известно 20 видов личинок (см., например, Emig, 1982). В планктоне Японского моря отмечены личинки только двух видов форонид: Phoronis ijimai (Actinotrocha vancouverensis) и Phoronopsis harmeri(A. harmeri). Кроме личинок этих двух видов нами в планктоне зал. Восток были обнаружены и приведены в настоящей работе как Actinotrocha sp. ранее неизвестные личинки, возможно, относящиеся к виду Phoronis hippocrepia. Личинки Phoronis muelleri(A. branchiata), Ph. psammophila (A. sabatieri) и Ph. hippocrepia (A. hippocrepia) в Японском море не отмечены. У Ph. svetlanaeличинка не описана.
Актинотрохи всех форонид устроены по общему плану. Их тело состоит из эписферы (преоральная лопасть), нависающей надо ртом, гипосферы с валиком щупалец и конечным телотрохом (табл. IX (1.
)). Круг щупалец разомкнут на дорсальной стороне тела, где соединяются эпи- и гипосфера. Здесь располагаются самые короткие щупальца, и находится зона закладки новых щупалец.
У всех актинотрох имеется несколько ресничных шнуров, образованных длинными густо расположенными ресничками: преоральный (прототрох), идущий по краю головной лопасти, посторальный (метатрох), идущий вдоль щупальцевого валика по брюшной и боковым сторонам тела позади рта и конечный телотрох (табл. IX (1.
) ). Последний практически не выражен у молодых личинок. Апикально на преоральной лопасти расположены хорошо заметные длинные реснички теменного султанчика, который маркирует аборальный орган (заметное утолщение эктодермы) (табл. IX (1
.)). Под аборальным органом располагается протоцель, границы которого хорошо видны у молодых актинотрох и личинок, лишенных пигментации (табл. IX
). Форма протоцеля у личинок является определительным признаком рода. Так, у личинок, принадлежащих родуPhoronopsis, протоцель имеет вид цилиндра (табл. IX). Целомический цилиндр в оптическом срезе представляет собой две септы, которые образованы мезодермальными клетками и ограничивают полость первого целома узкой областью под апикальной пластинкой (табл. IX
). У личинок рода Phoronis протоцель имеет только заднюю стенку, а спереди остается открытым (табл. X
;XI
) . Все пространство от задней стенки протоцеля до края преоральной лопасти заполнено тяжами мезенхимных клеток (табл. X (2)
; XI
).
Достоверно определить видовую принадлежность возможно только для взрослых личинок, готовых к метаморфозу. Размеры личинок форонид могут быть очень значительны - до 2,5 мм, но есть виды форонид с маленькими личинками, длина которых не превышает 0,5-0,8 мм. Большое значение для определения личинок форонид имеют пигментация, число щупалец, число скоплений клеток крови (эритроцитов).
На ранних этапах развития личинки имеют прозрачные покровы, что позволяет рассмотреть отделы пищеварительного тракта (вестибулюм, пищевод, желудок, задняя кишка), протонефридии, целомическую выстилку (табл. X (1)
). У более поздних личинок вентральная сторона верхней части желудка (сразу под пищеводом) образует дивертикул - печеночный вырост, стенки которого образованы утолщенным железистым, часто пигментированным, эпителием (табл. IX
; X
; XI
). Печеночный вырост может быть непарным (табл. IX (2
, 4
) ) ли парным (табл. XI
). У личинок некоторых видов на более поздних этапах развития, как правило, на стадии 8 щупалец, появляется пигментация покровов. Локализация пигмента и его цвет видоспецифичны. Пигмент может залегать в эктодерме орального поля, по краю преоральной лопасти, на концах щупалец, в основании круга щупалец (табл. X
, XII
, XIII
). Иногда скопления пигмента образуют хорошо выраженные темные пигментные пятна – «глазки» - по краю преоральной лопасти (табл. X (3
, 4
)).
Число щупалец у личинок увеличивается с возрастом. Тем не менее, для каждого вида существует вполне определенное максимальное число щупалец, которое достигается к предметаморфозному периоду. Максимальное число щупалец - 42 известно у A. branchiata (личинка Phoronis muelleri), минимальное -10 - у A. hippocrepia и A. pallida. У некоторых личинок (A. sabatieri и A. branchiata) перед метаморфозом появляются зачатки дефинитивных щупалец, которые имеют вид небольших бугорков и залегают под личиночными щупальцами у их основания.
Скопления эритроцитов появляются у зрелых личинок и представляют собой крупные шарообразные образования розового или ярко-красного (перед метаморфозом) цвета, просвечивающие сквозь покровы живых личинок. Максимальное их число описано у A. harmeri - 4: одна пара занимает дорсо-латеральное положение, рядом с молодыми щупальцами, другая располагается вентро-латерально с обеих сторон печеночного выроста. Число скоплений эритроцитов может быть нечетным - 3 (A. sabatieri): по одному с каждой стороны печеночного выроста и одно посередине вентральной стороны. Два вентральных скопления описано у A. branchiata (Selys-Longchamps, 1907) и у A. hippocrepia (Emig, 1982). Одно вентральное скопление кровяных клеток в передней части желудка отмечено у A. pallida.
У личинок некоторых видов (Phoronis muelleri, Phoronopsis harmeri) перед метаморфозом появляется так называемый фронтальный орган. У живых личинок фронтальный орган выглядит как заметное утолщение эктодермы преоральной лопасти в области ее медиальной линии (табл. IX (4)
; XI (2)
). Фронтальный орган представляет собой утолщение медиального нерва преоральной лопасти и играет роль хеморецептора во время метаморфоза (Emig, 1982).
Полная синонимия видов форонид приведена в работах французского зоолога Кристиана Эмига (Emig, 1974, 1979).
Тип включает один класс Phoronida, с единственным отрядом Phoronidea и семейством Phoronidacea. В Японском море, а также прилегающих акваториях Охотского моря (залив Анива) обитает 8 видов форонид, шесть из которых относится к родуPhoronis (Ph. ovalis, Ph. psammophila, Ph. muelleri, Ph. ijimai, Ph. svetlanae, Ph. hippocrepia) и два - к роду Phoronopsis (Ph. harmeri иPh. albomaculata).
